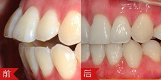
隐适美(Invisalign)采用智能控制移动,定位预测位置,并通过动画模拟效果,全方位、多角度、立体塑造牙齿美观和完美脸型,选用超薄和几乎隐形的材质矫治器,在旁人毫无察觉之中完成牙齿矫正。

专业 /Professional
错颌畸形程度有区别,所对应的治疗手段也因人而异。康贝佳口腔医师在治疗时会根据顾客的脸型、牙齿畸形状况和程度进行综合考虑,量身设计个性化方案。

精准 /Accurate
遵循美学原则与生物力学原则进行矫治设计,利用计算机三维成像技术,实现科学与艺术的统一,呈现更完美的矫治效果。

舒适 /Comfortable
采用先进高分子材料,避免造成口腔磨损和对牙周组织的刺激及不适感,矫正过程不再痛苦。

安全 /Security
康贝佳口腔引进的隐适美隐形矫治器,由已通过FOA认证的弹性透明高分子材料制成,安全可靠。

医保 /Health care
康贝佳口腔医院属医保定点单位,严格执行市卫生局、 物价局收费标准,杜绝随意抬高药品价格、乱收费、滥用药物等现象,全面保障患者权益。